There are four types of leukemia:
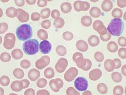
According to Leukemia and Lymphoma Society, about 15 thousands new cases of chronic lymphocytic leukemia are found in the United States every year. Chronic lymphocytic leukemia most commonly happened among adults in age 50 or more. CLL signed by the immature lymphocyte gathering in bone marrow, blood, lymph nodes, and other organ.There are two types of lymphocyte in our blood, namely B lymphocyte and T lymphocyte. About 95% of CLL cases entangle B lymphocyte which has the character of cancer. This malignant B lymphocyte owns longer life compared to a normal cell,so the amount of malignant cells increases in numerous numbers and results in removal of normal corpuscles. Immature functional cells accumulation in bone marrow hinders the healthy cell growth and can become fatal. Its symptoms include the fatigue, pain in bone, night sweating, fever, and losing appetite and body weight. Infiltration to bone marrow results in insufficiency of healthy corpuscles causing fatigue, easy to bleed and degradation of immune system so the patient become vulnerable to infection.CLL is a slow growing disease so the patient owns the longer survival rate that is more than one year.
Source by ezinearticles.com
- Acute lymphoblastic leukemia (ALL), most often suffered by children, sometimes by adults, especially over 65 year-old.
- Acute myelogenous leukemia (AML), more often suffered by adult than by children, with a median age at presentation of 60 years and an increasing incidence with advance age.
- Chronic lymphocytic Leukemia (CLL), often suffered by adult more than 55 year-old. It is sometimes also suffered by young adult and almost never at childhood.
- Chronic Myelocytic Leukemia (CML), mostly adult disease, very rare in children.
- Leukemia types which are often suffered by adult are AML and CLL, while most ALLs happened to children.
According to Leukemia and Lymphoma Society, about 15 thousands new cases of chronic lymphocytic leukemia are found in the United States every year. Chronic lymphocytic leukemia most commonly happened among adults in age 50 or more. CLL signed by the immature lymphocyte gathering in bone marrow, blood, lymph nodes, and other organ.There are two types of lymphocyte in our blood, namely B lymphocyte and T lymphocyte. About 95% of CLL cases entangle B lymphocyte which has the character of cancer. This malignant B lymphocyte owns longer life compared to a normal cell,so the amount of malignant cells increases in numerous numbers and results in removal of normal corpuscles. Immature functional cells accumulation in bone marrow hinders the healthy cell growth and can become fatal. Its symptoms include the fatigue, pain in bone, night sweating, fever, and losing appetite and body weight. Infiltration to bone marrow results in insufficiency of healthy corpuscles causing fatigue, easy to bleed and degradation of immune system so the patient become vulnerable to infection.CLL is a slow growing disease so the patient owns the longer survival rate that is more than one year.
Source by ezinearticles.com
{ 0 comments... read them below or add one }
Post a Comment