Symptoms of Brain Cancer

Posted by Cancer Care on Saturday, October 9, 2010


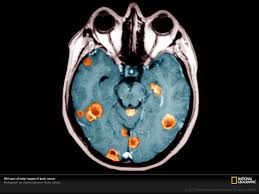
If someone notices any of these symptoms persisting, they should contact a doctor and get tested for any potential problems.The symptoms can be caused by a couple of different issues. One common reason is if someone has a tumor in the brain that is pressing against it and prohibiting normal function. Another cause of brain cancer symptoms is if the brain becomes swollen or inflamed.Constant headaches and weakness may be a sign of an issue pertaining to the brain. There are also symptoms that are more vague and that people may not immediately associate with brain cancer. Some of the nonspecific physical symptoms of brain cancer include abnormalities in vision and difficulty with speech as well as unexplained, persistent vomiting that tends to occur in the morning. If someone notices any of these symptoms persisting, they should make an appointment with their doctor as soon as possible to find out if they are showing signs of cancer or something else.

Source by ezinearticles.com

{ 0 comments... read them below or add one }

Post a Comment